Implantologie
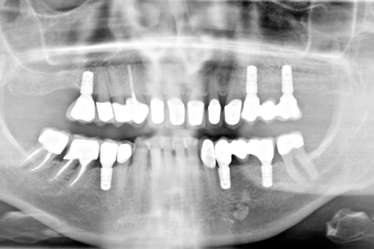
Röntgenbild von Implantaten und festsitzendem ZahnersatzDie Therapie mit Implantaten ist ein in der Zahnmedizin ein nicht mehr weg zu denkender Fortschritt. Seit über 60 Jahren ist „Osseointegration“, der Verbund von Knochen mit Zahnimplantaten aus Titan, bekannt und wissenschaftlich beschrieben. Implantate können in allen Regionen des Ober- und Unterkiefers eingesetzt werden. Dabei besteht die Möglichkeit einzelne Zähne, festsitzende Brücken oder auch herausnehmbaren Zahnersatz auf Implantaten abzustützen. Entscheidend für den Erfolg ist dabei maßgeblich das Behandlungskonzept. Durch wissenschaftliche Fachgesellschaften, z.B. das ITI (International Team for Implantology)
werden solche Konzepte empfohlen und immer wieder überprüft.
Auch die Auswahl der Implantate spielt eine Rolle. In unserer Praxis werden nur Implantate verwendet, die neben der notwendigen medizinischen Zulassung auch über solide klinische Studiendaten verfügen.
Die Implantattherapie lässt sich in verschiedene Abschnitte unterteilen:
Die Planung des Implantats
Vor dem Einsetzen eines Implantats ist eine gründliche Planung notwendig. Abformungen der Kiefer und Analyse der entsprechenden Modelle sind dabei die Grundlage. Röntgenaufnahmen mit individuellen Schablonen dienen der weiterführenden Diagnostik. Manchmal ist auch ein dreidimensional computergestütztes Analyseverfahren erforderlich. Dann wird eine digitale Volumentomographie durchgeführt. Auf der Basis so gewonnener Daten können Navigationsschablonen gefertigt werden, mit denen die im Computer geplante Operation maßstabgetreu realisiert werden kann. Diese Techniken sind als „Backward Planning“ und „Guided Surgery“ bekannt.
Die Implantation
Mit einem kleinen chirurgischen Eingriff unter örtlicher Betäubung wird das Implantat in den Knochen eingesetzt. Anschließend wird das Zahnfleisch mit feinen Nähten wieder verschlossen. In manchen Fällen kann das Implantat auch schon mit entsprechenden Elementen durch das Zahnfleisch schauen, während es im Kiefer einheilt.
Die Augmentation
Unter Augmentation wird der Aufbau von Kieferknochen verstanden. Sehr häufig sind solche Maßnahmen im Oberkieferseitenzahnbereich erforderlich. Durch die Ausdehnung der Kieferhöhle ist der Knochen meistens zu dünn für ein Implantat. Dann kann vor dem oder auch beim Setzen des Implantats ein sogenannter Sinuslift durchgeführt werden. Dabei wird die Kieferhöhlenbasis angehoben und z.B. mit Knochenersatzmaterial unterlegt. Bei sehr schmalen Kiefern kann vor Implantation auch eine Verbreiterung nötig sein, die meist durch Transplantation von eigenem Kieferknochen realisiert werden kann.
Die Freilegung
Die Freilegung ist nur für die Implantate vorgesehen, die unterhalb des Zahnfleischs einwachsen sollen. Dabei handelt es sich um einen kleinen, aber wichtigen Eingriff am Zahnfleisch, der dafür sorgt, dass zirkulär um das Implantat nur festes und gesundes Zahnfleisch vorhanden ist.
Der Zahnersatz auf dem Implantat
Abhängig von Anzahl und Position der Implantate kann jede Form von Zahnersatz in völlig schmerzfreien Behandlungsschritten auf den Implantaten eingesetzt werden.
Die Pflege von Implantaten
Nach einer gewissen Einheilzeit und spätestens nach Eingliederung des Zahnersatzes können und müssen Implantate genau so gepflegt werden wie die eigenen Zähne. Das ist sogar sehr wichtig, damit die Implantate lange halten. Bei unzureichender Pflege können Zahnfleisch und Implantat umgebender Knochen erkranken. Diese Erkrankung nennt sich Periimplantitis und bedarf einer zahnärztlichen Behandlung. Eine regelmäßige Betreuung zur Vorbeugung gegen Periimplantitis wird durch unsere Dentalhygienikerinnen ermöglicht.
